숨케어한의원

기관지확장증

호흡기 질환만 연구, 숨케어한의원

  • 기침이나 가래 때문에 대인관계가 힘드신가요?
  • 누우면 기침이 나와서 잠을 못 주무시나요?
  • 객혈이 예기치 않게 나와서 불안하신가요?
  • 비결핵항산균 진단 후 궁금한 점이 생기셨나요?

공기오염이 점점 심각해지면서 현대인들의 기관지 질환이 점점 심해지고 있습니다. 기침, 가래 등이 심해진다면 일상생활에 지장을 줄 수 있기에 그 원인을 파악하고 치료하는 것이 필요합니다. ​수많은 기관지질환 중 많은 분들이 고통 받고 있는 기관지확장증에 대해 알아보도록 하겠습니다.​

기관지확장증이란?

​기관지벽의 근육 및 탄력 성분의 파괴로 인해 기관지가 비정상적으로 늘어나 여러가지 문제를 일으키는 질환을 말합니다.
확장된 기관지 내부에는 가래가 고이게 되는데 기관지가 손상되어 있는 상황이므로 잘 빠져나가지 못하게 되고 이로 인해 쉽게 감염되고 그러면서 기관지 벽이 약해집니다. 이렇게 되면 기관지가 쉽게 파괴되고 다시 가래가 증가되는 악순환이 형성됩니다.

기관지확장증 원인

기관지확장증 질환이 발생하는 원인은 다양합니다.

폐감염
폐결핵, 홍역 또는 백일해 등에 의한 폐감염은 흔히 알려진 기관지 확장증의 감염성 원인입니다. 특히 소아 때 앓은 홍역, 백일해, 결핵은 성인이 된 후 기관지확장증으로 발전할 가능성이 큽니다.
기도폐쇄
기관지 또는 기도 내에 이물질이 있거나 염증으로 인해 부은 임파선 조직들이 폐조직을 침범하는 기도폐쇄도 원인 중 하나입니다
면역저하
면역글로불린이 정상인보다 떨어져 있다면 면역력 저하로 인해 지속적인 폐감염이 발생하게 되며, 이는 기관지확장증을 발생시킬 수 있습니다.
류마티스 질환
류마티스 관절염을 앓고 있는 사람의 경우 질환이 진행되면서 합병증으로 기관지확장을 유발합니다.
이 밖에도 원발성 섬모운동기능장애등 외부로부터 들어온 먼지나 세균을 가래로 만들어 밖으로 배출시키는 섬모가 손상이 되어 염증을 일으키면, 기관지확장증으로 발전하게 됩니다. ​

기관지확장증 증상

다음과 같은 증상이 보인다면 기관지확장증을 의심해야 합니다.

기침과 가래의 증가
기침과 가래는 흔히 감기증상으로 오인하기 쉽지만, 많은 양의 가래가 나오거나 기침이 오래 지속된다면 기관지확장증에 걸렸을 가능성이 커집니다. 만성적인 세균감염으로 인해 냄새가 다소 고약한 가래가 나올 수도 있습니다.
호흡곤란 및 흉통
기관지 확장증이 악화된 일부의 환자들이 호소하며, 숨을 쉴때마다 호흡이 딸리거나 가슴통증을 호소하는 경우가 많습니다.
객혈
혈액이 섞인 가래를 기침과 함께 배출해내는 증상을 객혈이라 합니다. 객혈은 기관지확장증의 흔한 증상 중 하나로 보통 경미한 경우가 많지만, 일부 환자의 경우, 대량으로 객혈을 배출할 수 있기에 특별한 주의가 필요합니다. 가래에 섞이지 않고 피만 나오는 경우도 있는데 대량 객혈의 경우 생명이 위험할 수도 있습니다.

기관지확장증 치료

늘어난 기관지는 다시 줄어들기 힘듧니다. 예를 들어 열을 가해서 손상된 고무관을 이전 모습으로 돌리기는 쉽지 않을 것입니다. 하지만 손상된 고무관에서 분비물이 나오는 것은 해결할 수 있습니다.

기관지확장증도 마찬가지 입니다. 모양 자체를 이전 모습으로 돌리기는 힘들지만 기침, 가래, 객혈은 해결할 수 있습니다. 그렇게 함으로써 이전과 훨씬 다른 삶의 질을 누리게 하는 것은 가능합니다.

한약에 대한 우수성이 기관지확장증에 효과적이라는 논문 및 해외 연구들이 많습니다. 특히 한약은 염증 관리에 좋고, 면역체계를 정상화하는데 도움이 되며, 맞춤형 진료를 통해 환자에게 부담이 없는 처방이 가능하다는 점 등이 인정받고 있습니다.

해외논문으로 한번 확인해볼까요?

* 한약처방이 기관지확장증에 도움된다는 논문(중국)

Effects of the zhikuofang on the inflammation and cytostatics of the airway model of bronchiectasis

Wan YG, Cao SH, Bi jj, Zhu YH, Zhou Y, Zhou M
Abstract
OBJECTIVE:
To explore the effects of Zhikuofang, a TCM prescription, and Ofloxacin on the inflammation and cytostatics of the airway model of bronchiectasis.
METHOD:
The airway model of bronchiectasis (AMB) was set up and infused with Ps. Aeruginosa. A comparison between the effects of Zhikuofang and Of loxacin on the AMB was made.
RESULT:

Zhikuofang is better than Ofloxacin in following aspects: lowering the density of inflammation cells in blood, decreasing the volume of tracheal secretion and inhibiting the cytostatics (IL-8 and TNF-alpha) of the trachea tissue, but Ofloxacin is more effective in diminishing the amount of bacteria in trachea flushing liquor. There was no marked difference between them in their histopathy effects on the trachea.
CONCLUSION:
Zhikuofang probably plays antiphlogistic and bacteriostatic effects by inhibiting the IL-8 and TNF-alpha, resisting secretion, decreasing the inflammation cells and resisting inflammation of trachea.
(Zhongguo Zhong Yao Za Zhi. 2002 Feb;27(2):139-43. Chinese) ​

일부를 발췌해보면

Zhikuofang probably plays antiphlogistic and bacteriostatic effects by inhibiting the IL-8 and TNF-alpha, resisting secretion, decreasing the inflammation cells and resisting inflammation of trachea.

"한약은 IL-8과 TNF-alpha를 억제하고 분비물의 발생을 저항하게 하고 염증세포를 감소시키고 기관지의 염증반응을 저항하게 함으로써 항염작용과 세균의 발육을 저지하는 효과를 발휘하는거 같다"

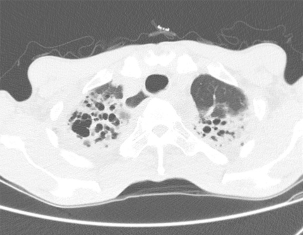
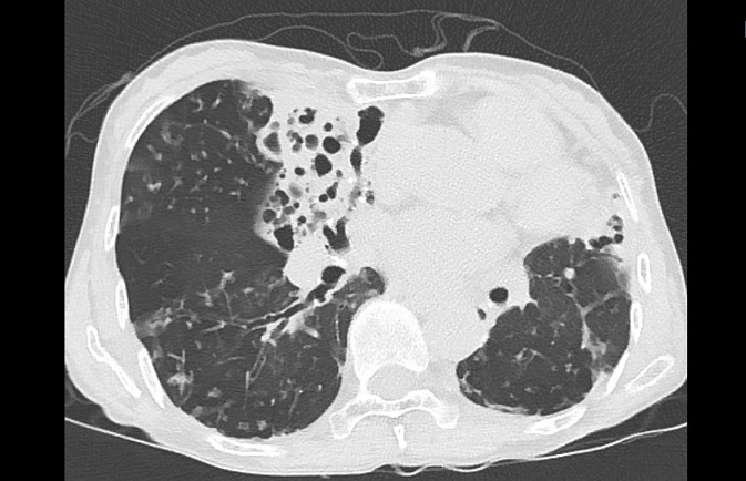
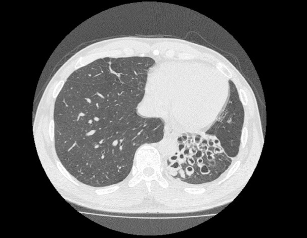
기관지확장증의 CT 사진
논문 한편을 더 살펴 봅시다

비결핵항산균에 감염된 환자를 한약으로 다스리는 증례논문(일본)

*기관지확장증에서 비결핵항산균 관리는 중요합니다.

A case of pulmonary Mycobacterium fortuitum infection successfully treated with Kampo treatments

Nogami T, Sekiya N, Mitsuma T, Yamaguci T
Department of Japanese Oriental (Kampo) Medicine, Aso-Iizuka Hospital.
Abstract
A 72-year-old male was referred to our hospital in August 2001 for his pulmonary M. fortuitum infection. His symptoms were coughing, pyrexia, hemoptysis, general malaise, and insomnia. He had been suffering from these symptoms since 1982, though the intensive anti-mycobacterial chemotherapy such as three-drug (RFP, SM, and INH), twice two-drug (KM and SM and cycloserine and enviomycin) and four-drug (CAM, EB, RFP, and KM) regimens were administered for 26 months from July 1999. His symptoms tentatively improved after chemotherapy, but soon recurred with smear positive sputum. We decided to withdraw all antibacterial agents to treat him with decoction of Ninjinyoueito according to the diagnostics Kampo medical science in September 2001. After this prescription, his subjective symptoms gradually improved, and ten months later his sputum converted to smear negative. Because of recurrence of his general malaise in August 2002, we replaced the Ninjinyoueito by Seishoekkito, based on the Kampo diagnostics. His physical conditions remained good until 2005. In addition, the sputum smear examination maintain the level below +/-. We evaluate that Kampo (Chinese traditional medicine) treatment resulted in favorable response. Though it is not common to prescribe Kampo-medicine for intractable infectious diseases, we believe that Kampo-medicine is effective in some cases associated with host defense mechanisms.
(Kekkaku. 2006 Aug;81(8):525-9. Japanese)​
일본에 있는 병원에서 비결핵항산균 환자의 치료 사례 논문입니다. 요지는 다음과 같습니다.
"양약치료 후 일시 호전 되었으나 계속 양성반응이 나타났음. 이후 한약치료로 바꾸기로 하고 처방함. 한약 치료 후 환자의 주관 증상이 호전되고 가래검사에서도 음성으로 호전되었다"
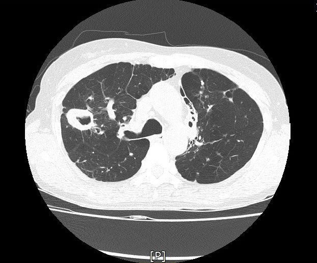
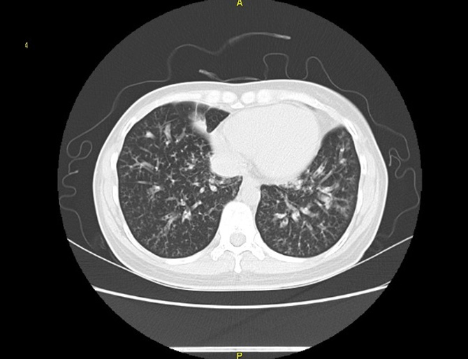
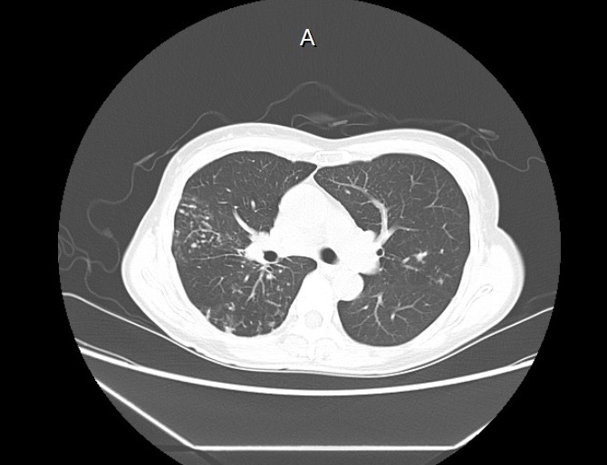
비결핵항산균에 감염된 폐사진

이런 한약의 우수성은 어떤 한의사를 만나느냐에 따라 더욱 효과가 발휘됩니다.

아무래도 한의사도 집중해서 연구하고 치료하는 분야가 다르기 때문에 그렇습니다.
사람은 생김새가 전부 다르듯이 질병의 양상 또한 다르다고 할 수 있습니다.

특히 한방치료는 이 점을 더욱 중시하는데 비슷해 보이는 증상 속에서도 자세히 검진하면 그 차이를 확인할 수 있습니다. 따라서 기관지확장증 치료에 있어서 한의사의 경험과 실력은 매우 중요합니다.

숨케어한의원만의 특별함

1. 오직 호흡기만 연구합니다.

오직한길 호흡기 치료 한의원

연구와 경험

숨케어한의원은 호흡기 치료를 위해 국내 명의는 물론
북경, 상해병원에서 난치성 호흡기환자 임상만 2만명에 이르는
경험을 쌓은 원장이 직접 진료하는 한의원 입니다.

2. 풍부한 경험의 한의사에게 직접.

호흡기환자 경험만 2만명에 이르는 다양한 경험을 가진 원장님께 직접 치료를 받을 수 있습니다. 원장님은 과거 본인이 가지고 있던 만성비염과 만성기침을 스스로 한약으로 고친 후 호흡기 질환에 대한 연구를 거듭하였습니다.

동의보감, 사상의학 같은 한국에서의 연구에 만족하지 않고 보다 나은 기관지확장증 치료를 위해 북경, 상해 등지에서의 병원연수를 통해 명의의 노하우와 비방을 1대1 사사를 통해 가르침 받아 치료에 활용하고 있습니다.

그렇기 때문에 숨케어한의원은 다른 사람에게 진료를 대신 맡기지 않습니다.

2014년 중국연수

북경과 상해의 호흡기 센터에 연수 다녀왔습니다.

...

북경중의병원 연수

...

북경중의병원 호흡기내과
주임교수 유웨이와

...

북경건안병원

...

북경건안병원장
씨에지증(폐암전문)과

...

북경동직문병원

...

상해용화병원연수

...

상해용화병원 호흡기내과 주임교수 장후에이용과

...

상해서광병원 호흡기내과 주임교수 황지겅과

2015년 중국연수

상해에 있는 용화병원 호흡기 센터에 연수 다녀 왔습니다.
용화병원은 상해중의학대학 부속 병원으로 국가지정 가장 높은 등급의 병원입니다.

...

상해용화병원

...

호흡기내과 주임교수 장후에이용과

...

호흡기내과 주임교수 장후에이용과

...

호흡기내과 주임교수 장후에이용과

...

호흡기 내과 의사 쉐홍하오와

...

병원장 오은근(80세)과

2018년 중국연수

난치병 치료의 대가로 손꼽이는 인물로 이사무(리스마오)선생이 있습니다.
중국 최고 의사 호칭인 국의대사(國醫大師)로 지정되었으며 현재는 수제자 왕사평 선생을 통해서 의술이 이어지고 있습니다.
그의 진료실에서 직접 사사받을 수 있는 기회를 가졌습니다.

...

이사무선생

...

왕사평선생과 (여름)

...

진료실에서(여름)

...

진료실에서(겨울)

...

진료실에서(겨울)

3. 일대일 맞춤 치료

사람마다 상황이 다르므로 처방 또한 다릅니다. 일률적인 처방을 하지 않습니다.
유해 물질로부터 손상된 기관지의 정상적인 기능 회복과 염증 제어, 후유증과 합병증 예방을 통한 면역력의 개선이 이뤄집니다.
예를 들면 진찰과정에는 다음과 같은 확인을 하게 됩니다

기관지확장증으로 인한 가래는 상태 확인이 중요합니다.

예를 들어
가래가 어떤 색인지(흰색인지, 노란색인지, 연두색인지 등)
가래의 양은 어느 정도인지 (티스푼 정도인지, 소주잔 정도인지, 종이컵 정도인지 등)
가래에서 냄새가 나는지
가래를 뱉기 쉬운지, 가래가 잘 안 뱉어지는지
가래에서 맛이 느껴지는지 (달게 느껴질때가 있는지, 짜게 느껴질 때가 있는지 등)
언제 가래가 더 많이 나오는지 (누우면 더 나오는지, 배가 부르면 더 나오는지, 찬바람을 쐬면 더 나오는지 등)

기관지확장증으로 인한 기침은 양상 확인이 중요합니다.

예를 들어
기침이 언제 더 심한지(누우면 더 심한지, 식후에 더 심한지, 말할 때 더 심한지, 찬바람 불때 더 심한지 등)
기침하면서 동반되는 증상이 있는지(얼굴이 붉어지는지, 목이 간질거리는지, 소변이 같이 나오는지, 땀이 나오는지 등)

기관지확장증으로 인한 객혈은 색과 양 확인이 중요합니다.

예를 들어
객혈양이 티스푼 정도인지, 소주잔 정도인지, 종이컵 정도인지
객혈이 선홍색인지 어두운색인지
가래에 묻어서 나오는지 피만 나오는지
객혈이 주로 언제 나타나는지 (피곤할 때, 스트레스 받을 때, 찬바람쐴 때 등)

기관지확장증 치료를 위해서는 그외 전반적인 몸상태 확인이 필요합니다.

예를 들어
수면, 땀, 대변, 소변, 소화상태 등등의 확인도 해야 합니다.

* 이런 식으로 증상 확인을 한 다음 진맥 결과를 바탕으로 사람마다 모두 다른, 최적화된 맞춤형 처방을 시행합니다. ​

4. 진맥은 어떻게 하는가

한의사의 한의사 다움은 진맥에 있다고 할 것입니다.
故 이사무 선생은 진맥 하나로 중국정부에서 "국의대사(國醫大師)"라는 호칭을 받은 분입니다.

국의대사는 의술의 소실을 막고자 중국정부에서 그 분야 최고의 의사에게 부여하는 호칭입니다.
숨케어한의원 원장님은 직접 중국에 있는 이사무 진료실에서 진맥법을 사사 받고 이를 진료에 적용하고 있습니다. ​
이사무 선생의 진료실에서

5. 한약재 사용

항생제나 인위적인 스테로이드 성분이 전혀 없는 순수 한약재만 이용해서 처방을 합니다.
한약규격품, 안전한 한약재만을 취급합니다.​

안전한 국산 한약재

최적의 산지에서 재배되는 한약재

효능과 기원이 정확한 한약재

한의학 원전을 고증하고 본초학 교수들의 자문을 얻어 정확한 기원식물의 약재를 사용하며, 한방과학연구소의 HPLC함량 분석법에 의거하여 유효성분을 제대로 함유하는 약재를 사용합니다.

6. 치료후기

진료시간 및 예약

  • 평일오전 11시 ~ 오후 7시
  • 토요일오전 10시 ~ 오후 3시
  • 점심시간오후 1시 ~ 오후 2시
숨케어한의원은 일요일, 공휴일은 휴진입니다.

02-577-7889

숨케어한의원에서는 전화예약을 받고 있습니다. 내원시 엑스레이, CT사진, 폐기능검사지를 가지고 오시면 자세한 상담이 가능합니다.

커뮤니티

찾아오시는 길

주소: 서울시 강남구 남부순환로 359길 12 향덕빌딩3층
지하철 3호선 양재역 4번 출구에서 도보로 3~5분
1층 후문에는 전용주차장이 있습니다자세히보기